How does Cuvis Joint Knee Replacement Surgery Benefits You?
The advantages of the Cuvis Joint system were mainly attributed to its comprehensive preoperative plan, intra-operative monitoring, patient specific and appropriate intervention by surgeons.
The precision of Cuvis Joint Robot system surgery allows for:
The precision of Cuvis Joint Robot system surgery allows for:
- More accurate implant placement results in a more natural feeling after surgery.
- Reduced risk of injury to adjacent tissues results in improved safety and reduced risk of infection
- Lower blood loss and smaller incisions, help in quicker recovery and less pain.
- Early Rehabilitation, decreased admission time and early discharge from Hospital.
- The potential for better long-term function
- Better implant survivorship and longevity
- Improved Quality of life
Arthritis – The leading Cause of Knee Pain
One the most common causes of knee pain and loss of mobility, is the wearing away of the cartilage lining. As a result, the bones rub together causing significant pain and swelling, a condition known as Osteoarthritis.
Non-operative treatments such as steroidal and non-steroidal anti-inflammatory drugs, physical therapy, alternative ‘medicine’ and cortisone injections may effectively relieve pain and restore mobility. However, increasingly severe pain and disability requires “Knee Resurfacing Surgery”.
Total Knee Resurfacing Surgery (TKR)
What Is A Total Knee Resurfacing Surgery (TKR)?
In total knee resurfacing surgery, the parts of the bones that rub together are resurfaced with metal and plastic implants. Using special, precision instruments, your surgeon will typically remove the damaged surfaces of all three bones.The surface of the femur (thigh bone) is replaced with a cobalt chromium component that comes very close to matching the curve of your natural bone. The surface of tibia (shine bone) is replaced with a titanium component.
This flat metal component holds a smooth plastic piece made of ultra-high-molecular-weight polyethylene plastic that serves as the cartilage.
The under surface of the kneecap may also be replaced with an implant made of the same polyethylene plastic.
The operation takes about 45 minutes to one hour for one knee resurfacing or approximately 2 hours for both knees done in one sitting.
24 – 48 Hours following surgery, your drains will be removed and you will be allowed to sit out of bed or walk under the supervision of a physiotherapist.
Patient Walking in
4Hrs After Surgery
TKR done to a patient , made to walk full weight bearing after four hours.
Patient Walking in
48Hrs After Surgery
TKR done to a patient , made to walk full weight bearing after four hours.
Total Knee Replacement Surgery at
Zen Hospital
TKR done to a patient , made to walk full weight bearing after four hours.
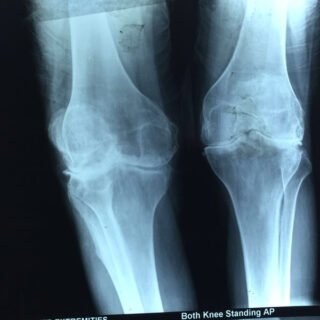
X-rays of patient of bilateral knee replacement in one sitting before and after surgery
Knee Replacement Surgery
Patient Made To Walk After 4hrs After TKR
Post Operation X-rays
Youngest Patient 39 years old Bilateral Total Knee Replacement done in one sitting.
Other Patient's Videos
Knee Replacement Surgery
A Closer Look At The KneeThe Knee is the largest joint in the body and is central to nearly every routine activity. The knee joint is formed by 3 bones: the lower end of the thigh bone (femur), the upper end of the shin bone (tibia), and knee cap (patella). Thick, tough tissue brands called ligaments connect the bones and stabilize the joint. A smooth, shiny, plastic-like lining called cartilage covers the ends of the bones and prevents them from rubbing against each other, allowing for flexible and frictionless movement. Cartilage also serves as a shock absorber, cushioning the bones, from the forces between them. A soft tissue called synovium lines the joint and produces a lubricating fluid that reduces friction and wear.